北京京城皮肤医院提供网络预约挂号服务
预约挂号热线:010-64888999
三级专科
医保定点
舒适环境
无假日
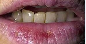
核黄素缺乏症是怎样发生的?核黄素缺乏症是一种比较常见的皮肤病,它所引起的皮损损害是很严重的,并且对患者的健康亦有非常大的影响,那么核黄素缺乏症是怎样发生的呢?下面将为大家做出详细的介绍。

核黄素缺乏症的发生是因为:
核黄素缺乏症的发生主要是因为机体摄取维生素B2量不足。因为维生素B2是参与构成*氧化还原作用所需各种黄酶的辅酶,而且在*氧化过程中发挥递氢作用,而且它与糖、脂肪蛋白质的*氧化也有密切的关系,对神经*与视网膜代谢、垂体促皮质激素释放与胎儿生长发育都有很大的影响。因此当机体缺乏核黄素时,*新陈代谢就会发生障碍,从而引起一系列的皮肤黏膜症状,即核黄素缺乏症。而引起维生素B2摄取不足的原因主要有:
1.供给不足:当饮食中长期缺乏蔬菜、牛奶鸡蛋、肉类,或是经常食用高碳水化合物及酒精饮料或集体伙食烹饪不当的时候,都可能会造成核黄素供量不足。这种情况多见于灾害或战争发生时,或是人群迁徙、新鲜蔬菜供应暂时失调,而其他食物又补给不足的时候,都容易导致发病。
2.吸收不良或消耗过多:当机体发生中毒,发热,慢性消耗性疾病,光化学诊疗,口服避孕药,饮食习惯突然变化等情况的时候,可导致胃肠吸收不良或消耗过多,从而导致核黄素缺乏症的发生。
3.烹饪、食用方法不当:因为集体生活烹饪方法往往比较单调,加上烹饪的时候,经常用水淘米,而且多次搓洗,又不吃米汤,洗菜的时候先将其切碎,而且泡入水中或长时间暴晒于空气中,吃菜的时候又不食菜汤,这样容易导致溶于水的核黄素丢失,可能会导致人群发病。
看了以上的介绍,相信大家已经了解核黄素缺乏症发病的原因有哪些了。如果您还有疑问,可以挂号我们的专家,他们将为您提供专业、详细的答复。
推荐阅读:核黄素缺乏症的临床症状有哪些
推荐阅读:引起核黄素缺乏症的病因是什么
推荐阅读:核黄素缺乏症的饮食调理