北京京城皮肤医院提供网络预约挂号服务
预约挂号热线:010-64888999
三级专科
医保定点
舒适环境
无假日
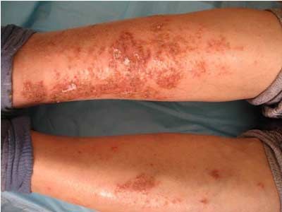
湿疹能用热水烫洗吗?湿疹是我们在日常生活中常见的一下皮肤变态反应性的皮肤病,有的患者单纯表现为湿疹的症状,例如老年常遇到的湿疹症,有许多老年患者道听途说,用热水烫洗患处能缓解湿疹的症状,那这种做法科学吗?针对这个问题,下面请北京京城皮肤医院的医生为大家详细的介绍一下,希望能让大家豁然开朗!

湿疹能不能用热水烫洗
老年由于皮肤萎缩,水分含量降低,皮脂分泌减少,皮肤的屏障功能下降,稍遇热温或紧身衣物刺激,就会引起瘙痒不适,若再用热水过度洗烫,必然会加重皮肤脱水,从而使皮肤更加干燥,更易诱发瘙痒。
此外面部是人体的一个特殊部位,血管丰富,皮肤薄嫩,敏感度高,稍遇热温、化妆品、酒精、紫外线等刺激,就可能出现红斑、水肿、瘙痒等过敏症状,此时若用热水洗脸或热毛巾敷脸,血管遇热扩张,同时炎症因子增多扩散,必然会加重面部红肿、瘙痒症状。
所以,老年尤其是瘙痒症者,应尽量避免用过热的水洗浴,浴后或平时经常涂抹保湿润肤霜,减轻皮肤干燥,修复皮肤屏障功能,着棉质宽松衣服,以减轻对皮肤的刺激;面部有湿疹的老年患者可选择冷敷或冰敷,以收缩血管,减轻水肿瘙痒症状,同时应遵医嘱选择合理的外用、内服药物治疗。
温馨提示:对于湿疹这种疾病,希望患者朋友们一定要重视起该病的治疗来,若您还有什么疑问,可以预约我院客服,预约客服您将会获得更为详细的信息。北京京城皮肤医院对于每一位患者都实行“一患、一医、一护”的服务模式,医生全程跟踪治疗,了解患者每一阶段病情状态,给予正确而及时的诊疗,避免了重复检查和治疗带来的麻烦和经济损失。