北京京城皮肤医院提供网络预约挂号服务
预约挂号热线:010-64888999
三级专科
医保定点
舒适环境
无假日
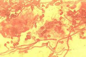
儿童口腔念珠菌病怎样预防?口腔念珠菌病是由念珠菌属感染所引起的口腔粘膜疾病,儿童由于抵抗力比较弱,所以很容易患病,那么儿童口腔念珠菌病怎样预防呢?

北京京城皮肤医院指出,预防儿童口腔念珠菌病应注意:
1、避免产房交叉感染,孕妇分娩时,应严格注意会阴、产道、接生人员双手及所有接生用具的卫生消毒。
2、婴儿可以用温开水拭洗其口腔,其哺乳用具应煮沸消毒,并保持干燥。
3、在冬季儿童口唇容易干燥开裂,所以儿童舔唇、吮舌等不良习惯应注意改正。
以上就是关于儿童口腔念珠菌病怎样预防的介绍,希望对您有所帮助,如果您还有疑问,可以与我们的预约专家联系,相信您会得到满意的答复。
推荐阅读: