北京京城皮肤医院提供网络预约挂号服务
预约挂号热线:010-64888999
三级专科
医保定点
舒适环境
无假日
口腔念珠菌病症状是什么?北京京城皮肤医院的皮肤专家说,口腔念珠菌病属于真菌性口腔粘膜疾病。大部分患者是由于滥用了*抑制剂、抗生素导致体内的*力下降,菌群失调,较终感染上口腔念珠菌病。现在我们来详细了解口腔念珠菌病症状是什么?

很多患者都不知道,口腔念珠菌病症状是什么?北京京城皮肤医院的皮肤介绍如下。
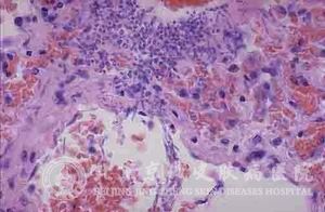
北京京城皮肤医院的皮肤专家说,如果从口腔念珠菌病患者的口腔黏膜进行检查,会检验出酵母样菌,属于隐球菌科的假热带念珠菌、高里念珠菌、念珠菌。所以临床上较经常见到的就是鹅口疮。
介绍完口腔念珠菌病症状是什么,我们就要积地预防口腔念珠菌病症状,避免口腔念珠菌病症状给人们造成皮肤伤害。