北京京城皮肤医院提供网络预约挂号服务
预约挂号热线:010-64888999
三级专科
医保定点
舒适环境
无假日
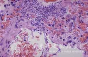
慢性肥厚型念珠菌性口炎是什么?慢性肥厚型念珠菌性口炎属于慢性粘膜皮肤念珠菌疾病症状的一种,经常发生在*不全症候群、内分泌功能低下人群身上。临床上鉴别慢性肥厚型念珠菌性口炎,较经常利用组织学检查诊断出。现在我们来详细了解慢性肥厚型念珠菌性口炎是什么?

慢性肥厚型念珠菌性口炎是什么?北京京城皮肤医院的皮肤专家为我们介绍如下。
北京京城皮肤医院的皮肤专家说,慢性肥厚型念珠菌性口炎也叫做增殖型念珠菌口炎,主要集中在腭部、舌背、颊粘膜等处,很多病人遭受慢性肥厚型念珠菌性口炎会引起上皮增生、角化不全、微脓肿、棘层肥厚等症状。
介绍完慢性肥厚型念珠菌性口炎是什么,我们就要积地预防慢性肥厚型念珠菌性口炎,避免慢性肥厚型念珠菌性口炎给人们造成皮肤伤害。