北京京城皮肤医院提供网络预约挂号服务
预约挂号热线:010-64888999
三级专科
医保定点
舒适环境
无假日
丘疹性荨麻疹类皮肤病的发病机制是什么?目前,有很多人患有丘疹性荨麻疹类皮肤病,很多患者问这个丘疹性荨麻疹类皮肤病的问题,丘疹性荨麻疹类皮肤病给人们的生活工作带来了严重的影响。并且丘疹性荨麻疹类皮肤病比较顽固,让人们非常烦恼,丘疹性荨麻疹类皮肤病不仅给人们的身体造成了一定的影响,而且丘疹性荨麻疹类皮肤病还伴有各种不良症状,为了您能够尽快脱离丘疹性荨麻疹类皮肤病,恢复健康,同时避免加重丘疹性荨麻疹类皮肤病症状,同时加强对丘疹性荨麻疹类皮肤病知识的了解,北京京城皮肤医院就给大家讲解,丘疹性荨麻疹类皮肤病的发病机制是什么?
很多患者都想知道,丘疹性荨麻疹类皮肤病的发病机制是什么?北京京城皮肤医院为您详细讲解。

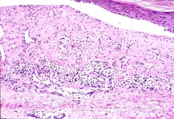
丘疹性荨麻疹类皮肤病的发病机制:蚊虫叮咬后引起的过敏反应是双相性的;立即发生风团红斑反应——是由*球蛋白E中介的,然后是较为持久的丘疹样反应。立即型风团红斑反应持续时间较短,而丘疹存在时间较长。有人认为属迟发性过敏反应,初次叮咬后致敏需10天左右,此时再受叮咬即发生皮疹。在皮损区 浅层血管壁有*球蛋白E及补体沉积,血管周围有中性粒*及核碎片,提示在该病中可能涉及*复合物。此外,有些患者可能与环境变化、胃肠道障碍或食物过敏等有关。
以上是北京京城皮肤医院就“丘疹性荨麻疹类皮肤病的发病机制是什么”做的简要介绍。自身出现类似症状表现时,一定要及时去正规医院接受科学治疗。
京城温馨提示:了解更多丘疹性荨麻疹类皮肤病的发病机制是什么,可以选择预约专家预约,您将得到满意的答复。
推荐阅读:什么是丘疹型荨麻疹
推荐阅读:丘疹型荨麻疹的发病机理有什么
推荐阅读:导致丘疹性荨麻疹皮肤病的病因
推荐阅读:丘疹性荨麻疹皮肤病的相关因素
推荐阅读:丘疹性荨麻疹皮肤病的病因有什么