北京京城皮肤医院提供网络预约挂号服务
预约挂号热线:010-64888999
三级专科
医保定点
舒适环境
无假日
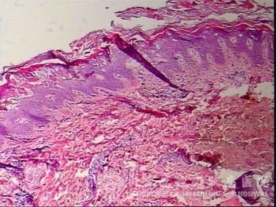
表皮松解性角化过度鱼鳞病的组织病理如何表现呢?鱼鳞病在生活中比较常见。此病对我们的生活工作造成了一定程度影响。鱼鳞病在初期症状很轻,很多人在这时都不注意护理,致使病情加重,引发全身性的症状。这时就会引起患者的恐慌心理,不知道该怎么办。我们可以从表皮松解性角化过度鱼鳞病的组织病理方面,提起大家的注意,使其认识到此病的危害。

对于表皮松解性角化过度鱼鳞病的组织病理,北京京城皮肤医院会为我们做详细的介绍。
北京京城皮肤医院指出,表皮松解性角化过度鱼鳞病的组织病理表现为:表皮角化过度,颗粒*层增厚,棘层上部*有网状空泡化,有时桥粒仅与一侧棘*相连表皮*有棘突松解,表皮内可见有水疤或大疤, 浅层有慢性炎症浸润。
以上是北京京城皮肤医院对表皮松解性角化过度鱼鳞病的组织病理的简单介绍,如果您还有什么问题,可以随时向专家询问,主要的途径就是挂号。
推荐阅读:如何诊断表皮松解性角化过度鱼鳞病
推荐阅读:什么是表皮松解性角化过度鱼鳞病
推荐阅读:夏季如何护理鱼鳞病?
推荐阅读:性连锁隐患性鱼鳞病的病发部位