北京京城皮肤医院提供网络预约挂号服务
预约挂号热线:010-64888999
三级专科
医保定点
舒适环境
无假日
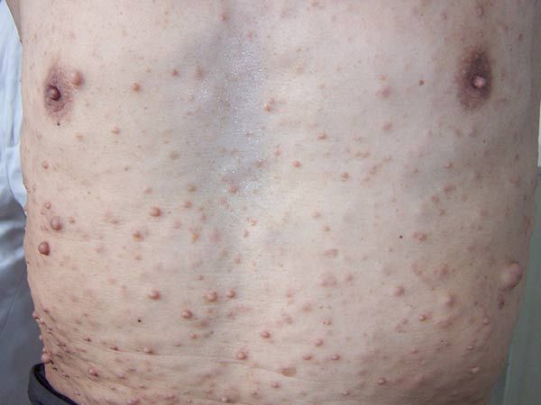
神经纤维瘤为常染色体显性遗传疾病,系外胚层和中胚层组织发生障碍所致。神经纤维瘤病是显性遗传引起的一种神经外胚叶异常。下面北京京城皮肤医院给大家详细介绍一下神经纤维瘤。

神经纤维瘤的引起原因:
1、神经纤维瘤的引发原因还不是很明确,大多认为它的发生和遗传有着一定的关系。
2、神经纤维瘤可能是畸变*使神经外胚叶出现异常,导致呈常染色体显性遗传,患者一般都有神经纤维瘤的家族病史,损害部位也会波及很多部位,容易引起多种肿瘤,常见的有错构瘤、脑膜瘤、胶质瘤等。
神经纤维瘤早期症状
临床表现
1.位于肢体肿物,呈梭形,其神经于支配的肢体远侧常有麻木,疼痛,感觉过敏等症状。
2.压迫瘤体也可引起麻痛。

诊断依据
1.瘤体多数位于肢体,腋窝,也可位于锁骨上,颈等部位。
2.位于肢体上瘤全呈梭形,其神经干支配的肢体远侧常有麻木,疼痛,感觉过敏等症状。
3.压迫瘤体也可引起麻痛。
神经纤维瘤的治疗方法:
1、对于神经纤维瘤瘤体比较大的患者,而且出现一些压迫性的症状以后,可以进行手术切除瘤体。
2、对于小结节多发性神经纤维瘤的治疗,主要是采用CO2激光治疗或者热凝治疗,使得瘤体变小。
3、对于瘤体特别大的患者,可以进行手术切除主要的瘤体,来恢复患者的活动能力,有些患者的瘤体层次感明显,瘤体有明显的界限,这样可以整块或者分次切除,再修复。
神经纤维瘤的预防:
1、神经纤维瘤是遗传性疾病,后代的发病率比较高,所以建议此类人绝育或者采取避免,等疾病治疗后,才考虑生育。
2、如果家族中有人罹患神经纤维瘤,要注意自我检测,如果发现某个部位的肿物短期内增大明显,要及时就医。
3、如果出现颅内肿瘤、肠梗阻、内脏受压等情况的,要及时就医,不要耽误了治疗。

神经纤维瘤与脂肪瘤的区别
脂肪瘤是一种良性肿瘤,多发生于皮下。瘤周有一层薄的结缔组织包囊,内有被结缔组织束分成叶状成群的正常脂肪*。有的脂肪瘤在结构上除大量脂肪组织外,还含有较多结缔组织或血管,即形成复杂的脂肪瘤。脂肪瘤(lipoma)由成熟的脂肪组织所构成,在小儿较纤维瘤多见,凡体内有脂肪存在的部位均可发生。
脂肪瘤有一层薄的纤维内膜,内有很多纤维索,纵横形成很多间隔,较常见于颈、肩、背、臀和乳房及肢体的皮下组织,面部、头皮、阴囊和阴唇,其次为腹膜后及胃肠壁等处;少数可出现于原来无脂肪组织的部位。如果肿瘤中纤维组织所占比例较多,则称纤维脂肪瘤。
多发性神经纤维瘤是一种常染色体显性遗传病,一般采取手术治疗,目前无治疗术。