北京京城皮肤医院提供网络预约挂号服务
预约挂号热线:010-64888999
三级专科
医保定点
舒适环境
无假日
京城皮肤医院介绍:
淋病全称淋菌性尿道炎,是目前上发病率较高的性别之一。淋病具有发病周期长且潜伏性短的特点。该病一般在青年男女中易传播,多为不洁性交引起。通常在短期内有强的感染性。
1.淋病的发病原因
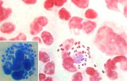
经分泌物直接涂片或培养可找到致病菌奈瑟淋球菌,该菌为成双或成堆的革兰氏阴性的呈肾形的双球菌,常位于*内,双球邻接面呈平面或略呈凹状。淋病通常经性接触传播,妇女常在数周或数月内为无症状带菌者,常在追踪其性接触者时被发现。男性同性恋者无症状的口咽或直肠感染也很常见。偶尔在异性恋男子的尿道也可发现感染。青春期儿童的阴道或直肠淋病常系被成年人性施疟所致。很罕见的也可通过污物感染。
2.淋病的症状表现
男性患者的潜伏期为2—14日,通常以尿道轻度不适起病,数小时后出现尿痛和脓性分泌物。当病变扩展至后尿道时可出现尿频,尿急。检查可见脓性黄尿道分泌物,尿道口红肿。
女性患者通常在感染后7—12日开始出现症状,大部分患者症状较轻,有尿痛,尿频和阴道分泌物。也有部分患者有严重的症状出现。子宫颈和较深部位的生殖器官是较常被感染的部位,其次依次为尿道,直肠,尿道旁腺管和前庭大腺。子宫颈可发红变脆伴有粘液脓性或脓性分泌物。压迫耻骨联合时,可从尿道,尿道旁腺管或前庭大腺挤出脓液。并且引发并发症,如输卵管炎。
在妇女或男性同性恋者中,直肠淋病比较常见。部分女性患者常无症状,少部分可有肛周症状和直肠分泌物。男性同性恋者,严重直肠感染较常见。病人可以发现粪便包有粘液脓性分泌物,在排便或直肠交媾时疼痛。口交生殖器接触所致的淋菌性咽炎通常无症状,但有些病人可诉喉痛和吞咽不适;咽和扁桃体发红,渗出,偶有水肿。在女性婴儿和青春前期少女,可有外阴部刺激,红斑,水肿伴脓性阴道分泌物及直肠炎。患儿表现为尿痛或排尿困难,家长可发现其内裤有污染。