北京京城皮肤医院提供网络预约挂号服务
预约挂号热线:010-64888999
三级专科
医保定点
舒适环境
无假日
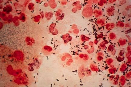
淋病是淋病奈瑟菌引起的以泌尿生殖系统化脓性感染为主要表现的性传播疾病。淋菌为革兰氏阴性双球菌,呈肾形,成双排列,离开人体不易生存,一般消毒剂容易将其杀灭。多发生于青年男女。大多数是由性接触进行传播。那么产生淋病会出现什么症状,下面我们请北京京城皮肤医院的专家给大家讲解一下。

专家指出:
1、用手从阴茎根部向尿道口挤压,可将脓液或粘液挤至尿道口排出;两侧淋巴结可轻度肿大、压痛;尿道疼痛表现为微痛或重痛,小便时疼痛加剧,尤以刚开始排尿时更痛。
2、可并发尿道腺炎、尿道周围组织炎和脓肿、包皮腺炎、输精管炎、精囊炎、睾炎、鞘膜积液、睾内炎、前列腺炎、龟头包皮炎、淋菌性溃疡等。
3、排尿困难、尿线细弱、射程短,甚至尿潴留。睾炎多见于治疗不及时者,常突然感到睾疼痛、肿大、压痛、发热。此外还可出现性欲减退、勃起不坚、阳痿、早泄及神经衰弱等症状。
温馨提示:治疗期间只要注意不要过度劳累,不要饮酒、吃辛辣就可以,只要把衣物,床单被罩用热水洗后暴晒就可以了,每日清洗外阴,换洗内裤,自己的内裤单独清洗并煮沸消毒。更多详情请拨打预约预约挂号电话:010-64888999。