北京京城皮肤医院提供网络预约挂号服务
预约挂号热线:010-64888999
三级专科
医保定点
舒适环境
无假日
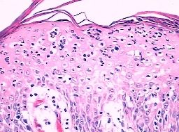
北京京城皮肤医院指出,艾滋病的皮肤损害-面部感染较明显。

艾滋病感染性皮肤损害-细菌感染:表现为毛囊炎、多发性皮肤脓肿或疖。
艾滋病感染性皮肤损害-痤疮:皮损分布广泛,从面、胸、背延及臀部,甚至小腿,有黑头粉刺和囊肿形成。
如果您想要了解更多艾滋病的皮肤损害-面部感染相关信息,可以选择预约专家预约,您将得到满意的答复。