北京京城皮肤医院提供网络预约挂号服务
预约挂号热线:010-64888999
三级专科
医保定点
舒适环境
无假日
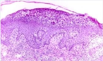
北京京城皮肤医院指出,艾滋病的皮肤损害,真菌感染较具特征。

艾滋病感染性皮肤损害-真菌感染:发生于口咽部的鹅口疮是*缺陷较早出现的症状。此外,HIV感染者常出现浅表真菌感染,如体股癣、手足癣、花斑癣、甲真菌病,皮损较非HIV感染者广泛,且不典型,需做刮屑镜检和培养。l0 一13 艾滋病患者可发生隐球菌感染,皮损常表现为传染性软疣样损害,中枢神经系统易受累。还可出现马尔尼菲青霉菌感染,以网状内皮系统受累为特征,70 病人可有皮肤损害。
如果您想要了解更多艾滋病感染性皮肤损害-真菌感染相关信息,可以选择预约专家预约,您将得到满意的答复。