北京京城皮肤医院提供网络预约挂号服务
预约挂号热线:010-64888999
三级专科
医保定点
舒适环境
无假日

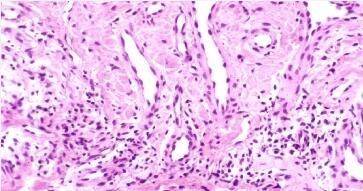
艾滋病的皮肤损害-丘疹性皮损:典型皮损位于头、颈和躯干上部,为直径主一3mm互不融合的丘疹.正常皮色。病程较长,常伴瘙痒。组织病理显示血管周围有单核*为主的慢性炎性*浸润。
如果您想要了解更多艾滋病的皮肤损害-丘疹性皮损相关信息,可以选择预约专家预约,您将得到满意的答复。