北京京城皮肤医院提供网络预约挂号服务
预约挂号热线:010-64888999
三级专科
医保定点
舒适环境
无假日
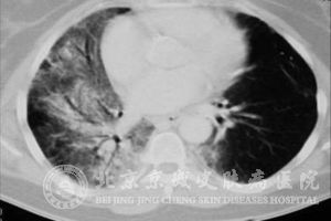
在对放射性肺炎进行临床诊断时需要遵循哪些标准?以下是对其诊断标准的一些介绍。
放射性肺炎诊断依据通常如下:
1.有放疗史,患者有干咳、进行性气急且肺部罗音有特点,X光显示肺部出现炎症与纤维化。
2.放疗一个月后的急性期可在受照射的肺野出现大片密集的片状模糊阴影及少数网状阴影。慢性期肺部呈纤维化,在肺门、纵膈两侧及其他受放射的肺野有网状、条索状或团状的收缩阴影。
3.因肺纤维的收缩会导致气管和心脏向患侧移动,太高了同侧的横膈,出现正常肺组织的代偿性肺气肿。
4.当发生肺动脉高压时,出现肺动脉段突出或者右心的肥大;常有胸腔积液。
5.肺部受损伤的部位应与受照射的部位一致,一段时间后可发现在纤维化后的病灶会回缩,但是转移癌却在增大。
当进行放射性肺炎的诊断时,需注意的是要将其与肺转移性癌加以鉴别,如将肺部放射性损伤误诊为转移性肿瘤继续放疗则可能造成患者的死亡。
<特别推荐>