北京京城皮肤医院提供网络预约挂号服务
预约挂号热线:010-64888999
三级专科
医保定点
舒适环境
无假日
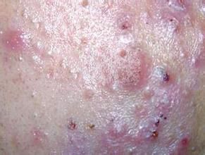
面部出现丘疹?面部对与我们来说是很重要的,人也不原因让自己的面部出现的瑕疵,这对于患者的来说无疑是损害了自己的形象,让患者的心理也承受了很大的压力,所以当我们发现面部出现了问题及时的治疗,那么面部出现丘疹怎么回事?下面看看北京京城皮肤医院的介绍。

面部出现丘疹
**、代谢产物的沉积:如皮肤淀粉样变的丘疹为 乳头淀粉样蛋白沉积所致。新液水肿性苔踪的丘疹,系由 上部大量就蛋白的沉积。我们的皮肤每天都在进行新陈代谢,如果不及时的清理只会导致我们的面部出现问题,丘疹就是因为代谢产物没有及时的清理导致的。
第二、胶样粟丘疹的丘疹则为 乳头层内均质胶样团块浸润引起。这种丘疹也是患者在生活中会患的一种,患者在生活中如若发现患了此类型的丘疹及时的去治疗,避免出现严重的症状。
第三、表皮或 *的限局性增生引起的丘疹如寻常疣、扁平疣、银屑病均为表皮*的过度增生使表皮限局性隆起。皮肤纤维瘤亦为增生的*形成丘疹,有些丘疹还是具有传染性的,患者在生活中要注意护理和预防。
第四、表皮的限局性水肿引起的丘疹见于湿疹、接触性皮炎等。由于各种*浸润表皮或 引起的丘疹,临床有其特征性。化脓性炎性丘疹以嗜中性粒*浸润为主;慢性炎性丘疹以淋巴*浸润为主;变应性因素引起的丘疹以嗜酸性粒*浸润为主;结核性丘疹以上皮样*淋巴*浸润;梅毒性丘疹以浆*浸润;黄瘤病则以泡沫*浸润为其特征。引起丘疹的发病机理与其发病因素有关。
温馨提示:以上就是为大家介绍的面部出现丘疹是怎么回事,患了丘疹及时的去医院就医治疗,避免给你的健康带来影响,生活中我们要注意自己的生活习惯,较好不要在面部出现一些症状,给我们的生活和形象带来影响。如果你对面部丘疹还有需要了解的,请及时的联系我们的专家,专家为你详细的回答。