北京京城皮肤医院提供网络预约挂号服务
预约挂号热线:010-64888999
三级专科
医保定点
舒适环境
无假日
过敏性紫癜的症状分类二
根据遗传性紫癜的症状、体征不同,可以将其划分为单纯型、腹型、关节型、肾型、综合型等。前两种已经介绍了,接下来给大家介绍下面的。

1、关节型。由于紫癜的出现,关节部位血管受累伴有关节肿胀、疼痛、压痛及功能障碍等现象,多数的病发部位是膝、踝、腕、肘等大关节处,关节肿胀的程度一般较轻,症状反复在后不会留下后遗症。
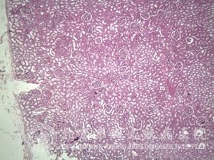
2、肾型。此种病情较为严重,发生率较高。它是由于肾小球毛细血管炎性反应而出现血尿、蛋白尿及管型尿的现象。在疾病的时期都会有出现肾脏症状的可能。但在一周之后较为常见。主要的表现为越早出现尿变化,肾炎就愈重。由于反复发作的病例,很容易引发慢性肾炎、肾病综合征,严重时肾功能会出现衰竭现象。通常称这种情况下的肾炎为过敏性紫癜性肾炎。
3、混合型
这种所谓的混合型是指处除皮肤紫癜外,腹型、关节型、肾型三型中有两型或两型以上合并存在时变为混合型。
4、其它
有时少数紫癜病患者还会因病变累及眼部、脑及脑膜血管,而出现视神经萎缩、虹膜炎、视网膜出血及水肿、中枢神经系统相关症状、体征。
…………………………相关推荐…………………………