北京京城皮肤医院提供网络预约挂号服务
预约挂号热线:010-64888999
三级专科
医保定点
舒适环境
无假日
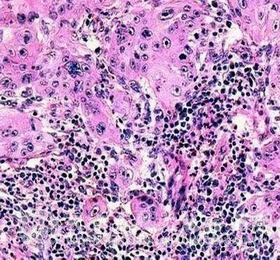
京城皮肤医院的皮肤介绍,临床上角化棘皮瘤的化验检查是通过组织病理来检查。根据*学研究,医学家认为角化棘皮瘤中的*,一部分炎症*属于黏附分子 的CD4+T淋巴*,他们与鳞状*癌的炎症浸润*相似。

在角化棘皮瘤的病理上,具有以下特征:
1. 在病理的早期,角化棘皮瘤的表皮凹陷充满角质表皮,在底部充满增生表皮。通过实验检查在 内有炎性*的浸润。
2. 在病理的发育成熟期,角化棘皮瘤的表皮凹陷呈现出不规则性增生,形状如口唇状或者拱壁状;
3. 在病理的消退期,角化棘皮瘤的表皮增生停止,表皮凹陷逐渐恢复平状,绝大部分*发生角化;
北京京城皮肤医院是北京市一家三级皮肤病专科医院。医院面积10000余平方米,开设病床120张。汇集了以王家璧、殷致宇为首的皮肤病专家团队,是集临床、科研、教学、预防为一体的皮肤病专业医院。联系方式:010-64888999
相关阅读:
1.角化棘皮瘤的病因
2.痘印是什么样的