北京京城皮肤医院提供网络预约挂号服务
预约挂号热线:010-64888999
三级专科
医保定点
舒适环境
无假日
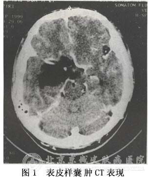
北京京城皮肤医院的皮肤专家王教授介绍说,表皮囊肿在临床上有多发也有单发。它是由于胚胎在发育过程中神经滞留引起的一类疾病。在临床上要鉴别诊断表皮囊肿也有通过组织病理来进行。

通过组织病理我们发现了表皮囊肿的形状是圆形的,也有椭圆形。经过检查我们发现囊璧里有大的血管进行相连,这些囊璧属于半透明的,与周围的脑组织界限比较清晰。这些囊璧进入了其他组织的各个角落甚至是脑池内,不仅给手术治疗增加了难度还给患者带了复发的可能性。这些表皮囊肿的包膜比较完整,可以检查出是否出现钙化,因为一旦出现钙化,就要延缓动手术的时间。
相关阅读: