北京京城皮肤医院提供网络预约挂号服务
预约挂号热线:010-64888999
三级专科
医保定点
舒适环境
无假日
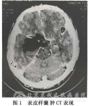
北京京城皮肤医院的皮肤专家蔡教授介绍说,表皮囊肿是神经管滞留引起的一类疾病。里面充满了角质所以又名为角质囊肿。临床上,为了检查表皮囊肿的状况,会检查颅骨X线平片,CT,MRI等项目。

通过颅骨X线平片检查我们会发现除了颅内压力增高,还出现岩骨尖吸收。颅中窝表皮样囊肿有岩骨嵴破坏或者岩骨尖。在板障内表皮样囊肿可见骨质被破坏,骨密度变高等,个别甚至出现了钙化斑。透过CT我们发现影像特征表现为低密度区,如果发现有脑桥小脑角则是表皮囊肿癌话的一个标志。MRT是检查颅后窝是否有表皮样囊肿,能够显示出ct无法显示出的肿瘤范围,某占位效应,血管移位等。
因此,如果要检查出患者是否患有表皮囊肿就要做以上的三样检查项目。确保能够准确诊断出表皮囊肿。
相关阅读: