北京京城皮肤医院提供网络预约挂号服务
预约挂号热线:010-64888999
三级专科
医保定点
舒适环境
无假日
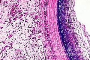
发生表皮囊肿后会有怎样的病理改变产生呢?北京京城皮肤医院表示通过显微镜观察没就可以对表皮囊肿所导致的病理变化进行深入的了解,下面是专家为大家作出的解释。
通过显微镜观察可以发现,表皮囊肿的瘤壁是由两层不同组织构成的,其中外层是比较薄的纤维结缔组织,内层则为复层的鳞状上皮,上皮层是面向囊腔的,其表面会有许多的角化*,经过不断的脱落就成了囊的内容物质,并使肿物不断增大。
在囊肿周围的蛛网膜组织会呈现纤维增生与玻璃样变,有时还可出现异位巨噬*,周围的淋巴*与组织*呈浸润性生长。囊内的物质具有一定的组织毒性,当这些物质溢出并到达蛛网膜的下腔则可导致肉芽样炎症的发生,另外,靠近囊的脑组织可能会发生胶质增生。
通过以上的病理变化描述,可以让我们对表皮囊肿的病症发展有一定的了解,如果还有其他疑问需要解决,建议可直接预约我院预约专家,或者拨打挂号热线010-64888999,您将得到满意答复!
<特别推荐>