北京京城皮肤医院提供网络预约挂号服务
预约挂号热线:010-64888999
三级专科
医保定点
舒适环境
无假日
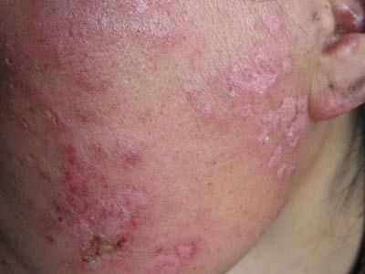
亚急性皮肤型红斑狼疮诊断标准?亚急性皮肤型红斑狼疮是红斑狼疮类型的一种,介于系统性红斑狼疮与盘状红斑狼疮之间,危害不是很大。但是如果因此放松警惕,不积接受治疗,就会变得严重。那么,早期怎么发现它呢?亚急性皮肤型红斑狼疮诊断标准是什么?

亚急性皮肤型红斑狼疮诊断标准?北京京城皮肤医院指出:
亚急性皮肤型红斑狼疮诊断标准有一个重要的原则:常见好发于青少年和青年,男女都可以罹病,但主要以女性患者多见。
下面就是亚急性皮肤型红斑狼疮诊断标准:
1,丘疹鳞屑型:
初起为小丘疹,逐渐扩大成斑块,像牛皮癣像或糠疹样。
2,初期为水肿性丘疹,逐渐扩展到周围,中枢病变环形红斑消退,周边渗透到轻度水肿性红斑,表面光滑或覆盖着规模小,但没有明显的毛囊口螺栓,往往多形或不规则的形状。愈后无疤痕,或可出现暂时性的色素沉着,或持久性毛细血管扩张及色素脱失。病变主要分布在面部,耳朵,胸部,背部,肩部和背部。
3,患者常有不同程度的全身症状,如关节痛,发热,乏力,肌肉酸痛。光过敏是常见的。一般较少受损的是肾脏和中枢神经。
以上就是北京京城皮肤医院带来的有关“亚急性皮肤型红斑狼疮诊断标准”的详细介绍,希望对您有所帮助。想要了解更多有关系统性红斑狼疮治疗的相关知识,可以拨打挂号电话:010-64888999,相信京城专家会竭诚为您服务。
推荐阅读:系统性红斑狼疮症状