首页 > 蕈样肉芽肿

蕈样肉芽肿的病理改变有哪些

北京京城皮肤医院提供网络预约挂号服务

预约挂号热线:010-64888999

三级专科
医保定点
舒适环境
无假日

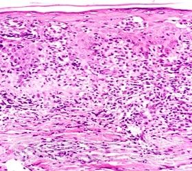
蕈样肉芽肿的病理改变有哪些呢?北京京城皮肤医院介绍,蕈样肉芽肿的重要病理改变和一般病理改变有以下几种:

重要病理改变:

1、处于斑片期患者的病理变化表现为表皮内出现单个散在分布或聚集成团的异型淋巴*。

2、处于肿瘤期的患者表现为 内有成团或弥漫性的异型淋巴*浸润,常累及皮下组织。

一般的病理改变

1、一般来说红斑期的组织病理缺乏特异性的改变。处于斑片期的患者病理表现为 乳头层的毛细血管周围灶性淋巴样*浸润,并且常向表皮内外移,单个散在分布或者聚集成团。

2、处于晚期浸润斑块和肿瘤期的患者,其病理表现为整个 甚至皮下组织内有成团或弥漫性浸润蕈样肉芽肿*,比正常的淋巴*大、染色深,胞核扭曲、畸形,核膜呈不规则凹陷

3、*检查时的变化:蕈样肉芽肿*在进行CD5、CD3、CD4、CD8和HLA-DR*检查时的均呈阳性反应。

 

--------推荐阅读---------  

1、蕈样肉芽肿的病因是什么

2、蕈样肉芽肿的临床表现有哪些

关键词标签: 蕈样肉芽肿病理  蕈样肉芽肿  
热门文章 更多
返回顶部