首页 > 鳞状细胞癌

鳞状细胞癌的临床特征有哪些

北京京城皮肤医院提供网络预约挂号服务

预约挂号热线:010-64888999

三级专科
医保定点
舒适环境
无假日

鳞状*癌的鳞状特征有哪些呢?北京京城皮肤医院介绍,鳞状*癌简称鳞癌。一般可发生在皮肤或黏膜,多在癌前病变或原位癌的基础上发生,如日光性角化病等,但少数也可发生于正常皮肤。

鳞状*癌常表现为浅表溃疡,边缘较硬而隆起,溃疡面高低不平,易出血。有时损害表面明显增厚如乳头状或菜花状。

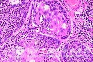
鳞状*癌的肿瘤由鳞状上皮*团块所组成,不规则向 内增生。肿瘤团块中有正常鳞状*,也有异型性鳞状*。二者比例多少不等,异型性鳞状*数目形态不一,核染色质增多、*间桥消失、个别*角化不良以及不典型核分裂等。

如果您想要了解更多关于鳞状*癌的临床特征有哪些的信息,也可以选择挂号,您将得到满意的答复。

--------推荐阅读---------  

1、诱导分化治疗舌鳞状*癌

2、舌鳞癌手术后应怎样护理

热门文章 更多
返回顶部