北京京城皮肤医院提供网络预约挂号服务
预约挂号热线:010-64888999
三级专科
医保定点
舒适环境
无假日
黑棘皮病的重要病理变化有哪些呢?黑棘皮病是一种生活中的常见疾病,很多都有黑棘皮病的困扰。黑棘皮病一般症状为皮肤有严重的色素沉着,影响外观,所以给患者的生活与工作等各方面都造成了很大的影响。那么对于黑棘皮病来说,黑棘皮病的重要病理变化有哪些呢?

为了是患者能够 的认识黑棘皮病,北京京城皮肤医院会为大家做出详细的服务。
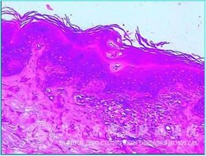
北京京城皮肤医院指出:黑棘皮病的重要病理变化表现为 乳头向上突起,一般呈手指状,两个乳头间凹陷,表皮呈轻、中度棘层肥厚,充满角化质。乳头顶部及乳头突起侧面的表皮通常会变薄。
以上是北京京城皮肤医院对黑棘皮病的重要病理变化的介绍。了解了黑棘皮病的病理变化,有助于患者及早的发现病症,及时进行治疗。
北京京城皮肤医院温馨提示:如果想要了解更多有关黑棘皮病的病理的信息,可以通过挂号的方式进行了解,你会获益匪浅。
推荐阅读:良性黑棘皮病特征
推荐阅读:良性黑棘皮病特征
推荐阅读:什么是黑棘皮病?