北京京城皮肤医院提供网络预约挂号服务
预约挂号热线:010-64888999
三级专科
医保定点
舒适环境
无假日
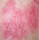
带状疱疹的发生几率还是比较大的,对于患者来说,产生的危害还是比较大的,尤其是神经痛的出现,给患者正常的生活带来了一定的困扰,因此在日常的生活中,一定要做好带状疱疹的预防与护理的工作。

带状疱疹患者出现的神经痛,对于患者来说,产生的伤害还是比较严重的,并且也是比较广泛的。
带状疱疹的患者,病患部位除出现比较典型的皮疹外,神经痛是本病的另一大特点表现,并且造成的伤害也是比较大的。
带状疱疹患者一般会在皮疹出现前1~2天即有神经痛的症状出现,直到皮疹消退,神经痛的症状将伴随整个的发病过程。
带状疱疹患者出现的疼痛程度轻重是不等,且与皮疹的严重程度无一定的关系。通常儿童带状疱疹患者出现的疼痛很轻或没有疼痛,而老年患者多疼痛表现会比较的剧烈,甚至是难以忍受的。
带状疱疹的发生,对于老年人产生的伤害是非常大的,约30 ~50 的中老年患者于损害消退后可遗留顽固性神经痛,常持续数月或更久。
带状疱疹的出现,对于患者来说,产生的影响还是比较大的,如果没有得到及时治疗的话,还会有其他的继发性感染出现,给患者的健康带来更大的伤害。对于上述的病情介绍还有不清楚的地方,请来电预约010-64888999,或直接登录我们的网站,跟专家做面对面的交流http://www.pf110.com/将为您提供较满意的答复.
--------推荐阅读---------