首页 > 湿疹

老年人阴囊湿疹小心癌变

北京京城皮肤医院提供网络预约挂号服务

预约挂号热线:010-64888999

三级专科
医保定点
舒适环境
无假日

老年人阴囊湿疹小心癌变!我们身边有很多人老年人被阴囊湿疹所困扰,但目前有很多患者对阴囊湿疹了解不足,错过了较佳治疗时机,从而导致病情发展严重,增加了患者痛苦,同时也增加了治疗难度。知道阴囊湿疹的病变特征,就要及时预防和治疗阴囊湿疹。

北京京城皮肤医院指出:老年人阴囊湿疹长期不愈,对各种治疗反应较差,经常出现渗液、糜烂。更可怕的是很多老年人阴囊湿疹是癌变的先兆表现。

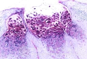
皮肤恶性肿瘤多侵犯老年男性阴囊,早期即表现为湿疹样改变。当怀疑此病变时,应及早进行病理活检以早期诊断与治疗。

治疗老年人阴囊湿疹,要达到治疗的目的需要个人注意卫生、坚持用药,避免复发。

推荐阅读:

怎么预防慢性湿疹

慢性湿疹怎么治

关键词标签: 老年人阴囊湿疹  阴囊湿疹  
热门文章 更多
返回顶部